審美にも基準があります。
「ゴールデンプロポーション」という言葉を聞いたことがありますか。黄金比として訳され 日本語にもなっています。ミロのヴィーナスの審美の基準として表れています。
口腔内を見てみますと、歯の白色・歯肉の赤色の見え方やバランス、歯の大きさの縦横比、前歯から後ろの歯に向かって歯の見え方のバランスに審美の基準があります。
審美の基準
原点となる基準は、スマイルした時に唇から見える前歯の位置です。
この基準から各々の患者さんにあった審美を見つけていきます。顔の形がそれぞれ違うように、歯の形や大きさは患者さん毎に違います。
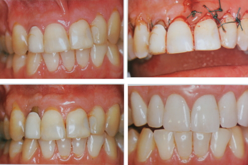
前歯をきれいにしたいと来院されました。審美の基準を用いて、歯肉の左右の対称性や歯の縦横比を修正して、完了しました。

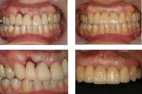
また、歯ばかりではなく歯肉を失くした患者さんでは 審美の回復時に、歯肉の移植などの歯周病治療の技術も用い、再建を行い審美の回復をします。

