成人矯正
矯正と聞くと「歯並びをきれいにする治療」「若い人の治療」と思われがちですが、アメリカでもドイツでも成人が、噛み合わせを治すために行う治療となってきています。噛み合わせと歯周病の重症化には相関関係があります。
最近、治療が終了した患者さんを通してお話しします。患者さんは「奥歯が痛い」「歯がぐらぐらする」と言われて来院されました。歯ブラシは食後にキチンとされている方で、歯ブラシをしない「口腔内不潔による歯周病」ではありません。歯ブラシをしているのに歯周病が進行してしまうタイプの方です。
左側上の前歯が自然脱落をして、痛みがなかったため放置してきたそうです。噛み合わせが少しずつずれ始め 脱落した歯の空間は奥の歯が病的移動を起こし埋めてきました。専門的な内容ですが、、前歯と奥歯にの調和が崩れると、歯周病が進行します。患者さんにこの事を伝え、治療の概略をお話ししました。噛み合わせが安定し、歯周ポケットが無い状態までにしましょう、それが今後、歯ブラシをすれば歯周病が再発しなく歯を失わない治療のゴールとお互いに確認しました。

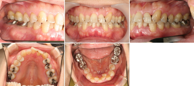
初診時の口腔内です。プラークコントロールはしっかりされています。歯肉には腫れや病的な赤みもありません。左上の小さい前歯が無く、犬歯が大きな前歯のとなりに移動してきています。

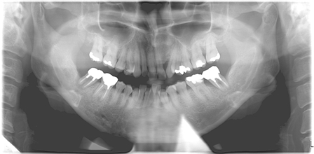
レントゲンでは歯を支えている歯槽骨が吸収を起こしています。特に上下の大臼歯と左上の犬歯が進行しています。

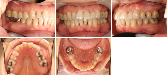
骨の再生を行ってから矯正治療を用いて、噛み合わせの治療を行いました。今後数十年の使用に耐えるこの患者さんの骨の作りに調和するように噛み合わせの再構築を行います。審美の回復も考えます。矯正治療期間は1年でした。

第二大臼歯は、初診時から歯周病で骨の支えを失いホープレスな状態でした。患者さんの骨の作りは、骨格2級であったため第二大臼歯はあえて製作しませんでした。

無くした歯を支える歯槽骨を再生し、また歯周ポケットも無い状態にでき、歯周病が完治しました。後は患者さんが毎日の普通の歯磨きを行うことで、再発する危険がとても少ない状態までもってこれました。
治療した結果が、具合良く、見た目も良く、良く咬めて、そして、長持ちすることが、患者さんと医院側の思いです。そのためには、患者さんに「なぜこうなったのか」「メインテナンスの重要性」を理解していただけるスタッフが揃う医院力と各分野の治療対して治療可能なオプションを持つ高い技術力が必要です。

