本当に手術する矯正が必要なのか
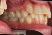
18歳の女の子です。家の近くの矯正専門医で治療が難しいと言われ、大学病院に紹介された患者さんです。
大学病院では顎を切る手術の矯正になると言われ、同時に小さな奥歯を4本抜歯する必要があると言われたそうです。なぜ このような乱ぐい歯になったのでしょう?その考察がなく、見た目の乱ぐいだけを考えたのでは、本当の意味での治療にはならないと思います。なぜ このような成長方向になったのでしょうか。
それには奥歯の高さの成長の不足があります。そこをコントロールして原因を取り除くことによって、成人になってからも本来の正しい方向に進みます。
初診時です



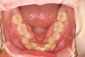
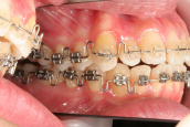
2015年4月2日から、矯正を開始しました。手術は行わず、原因である奥歯の高さの調整をして、同時に歯列の幅も広げました。ちょうど一年が経過しました。



2016年4月6日のお口です。歯は歯列におさまり、奥歯の噛み合わせも正常になっています。矯正治療は全ての歯を動かして並べ変える まさに「噛み合わせ治療」です。女性の平均寿命は85歳を越えています。これからの60年以上の時間 噛むことに耐えうる安定した状態を、歯を動かす矯正を利用して実現することを目標としています。
どの病気でも同じなのですが、診断が大切です。診断が違えば治療方法、結果が変わってしまいます。普通に生まれて普通に育ってきているのに、なぜ正常な噛み合わせに成長できなかったのでしょう。その原因は奥歯の萌出の高さにあります。その原因を調整することによって成人になっても正しい噛み合わせに移行できるのです。


