治療結果の永続性 その2
患者さんの皆さん こんにちは 岩下です。
今日は久しぶりに真夏のような暑さでしたね。夕方でも29度あります。
今日は治療結果ではないのですが、メインテナンスに通院ている患者さんのお話をします。治療はなくメインテナンスだけで健康が維持できているので「永続性」としてお話します。
皆さんにとって歯科医院は「虫歯が出来たから言って治療するところ、痛いところを治すところ」と思われがちですが、患者さんの思いは、歯を削って金属を詰めたりセラミックを被せたりするのを期待しているのではないのです。本来の思いは、きれいなお口でいたい、健康を維持したい、自信をもちたいなどの健やかな日常生活を過ごしたいことではないでしょうか。
このHPの巻頭にも書きましたがお口の病気を発症させないことは、それほど難しいことではありません。お口の病気はいくつかの因子によって起こります。歯ブラシが悪かったり甘いものが多くなっているだけではないことが「虫歯学」(カリオロジー)で分かってきています。その人の発症の原因(因子)を調べて、その人個人の予防プログラムを作りメインテナンスを行なうことによって効果的に抑えられます。
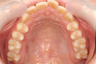
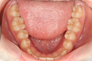
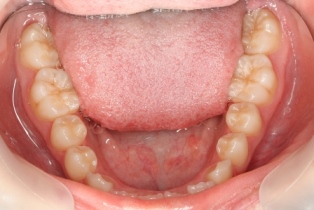
今日はメインテナンスを通じて「虫歯なし」(カリセスフリー)を達成した姉妹を通してお話します。


15歳のお姉さんです。治療した歯もなくカリエスフリーです。小学校低学年からメインテナンスしています。病気はありませんが健康維持のため半年に一度メインテナンスに通院しています。虫歯学を元に 科学的に予防できています。結果的に、治療費は安く、痛くなく、治療期間も短く、良いことずくめです。
14歳の妹さんです。お姉さんと同じく園児の時からメインテナンスに来ています。これこそが歯科医療のゴールであり、患者さんと術者の win-win の関係ではないでしょうか。健康なのですが健康維持のためのメインテナンスです。


