治療結果の永続性
患者さんの皆さん こんばんは。
今日は治療内容についてお話します。治療したところが長持ちすることは、患者さんも医療サイドも同じ思いです。最近治療が終了した患者さんについてお話します。
前歯の治療を今まで何回かやり直した患者さんのケースです。
患者さんはまだお若い美人な患者さんなんですが、既に前歯が1本なく神経を抜いて被せてありました。歯はキチンとブラシされているのに冠の堺目にブラシが届かない冠のため、冠の脇から虫歯が発生していました。
神経がないため虫歯が進行して歯肉の下までいっていても自覚症状がない状態でした。外見的的には大きな問題がないように見えますが、歯の根の治療の問題・虫歯が歯肉の下まで進行している・残痕状態・既に歯が大きい・今まで何度か既に被せ直している、など複数の問題を抱えていました。
単に被せ直すだけの単純な方法ならば、上記の問題を全て解決できません。根の治療をやり直し、残痕の根を歯肉から矯正で引っ張り出し、歯肉の下の虫歯を歯肉の手術で取り、歯肉が簡単に退縮しないように厚く強化して、歯肉のラインと歯の大きさのバランスを整え清掃性の良いクラウンを被せ直しました。時間や手術などかかりましたが、問題点を全てクリアして徹底的に治療しました。治療したクラウンが長持ちするように患者さんと治療サイドの共同作業でした。
このクラウンを長持ちさせるためには、メインテナンスが重要です。患者さんも治療開始前からメインテナンスの大切さを理解していただき治療を開始しました。現在は歯を守る為の「唾液検査」も受けていただき予防プログラムに入ったところです。
治療途中で神奈川県に引っ越されてまして、遠くなりましたが通院お疲れ様でした。
今後は、健康を維持する為に健康な時に来院していただいて、ゴールは80歳で自分の歯が残るようにメインテナンスとクリーニングをしていきましょう。

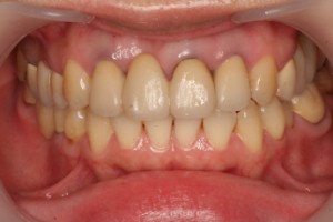
初診時の写真です。左の前歯が喪失して歯肉もへこみ歯も大きいな形となっていました。

レントゲン写真で歯肉の下に虫歯が見られます。

クラウンを外したところです。虫歯で歯根も黒くなっています。
歯肉を通して黒い色も透けてしまっています。
まず、虫歯の治療と根の治療から始めました。

それぞれの歯を1本ずつ引っ張り、虫歯の部分を出していきます。

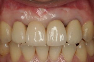
その後、歯肉の手術を行い歯肉のライン、歯の大きさのバランス、色や形態を合わせ完成となりました。歯肉も厚みを増し簡単に歯肉退縮しないようになっています。
これからは悪くなって治すのではなく、治療したものが永続し、自分の歯を削らないように共同して守っていきましょう。リスク検査を通して健康を維持していきましょう。


