症例5 矯正治療が口腔全体にあたえる影響 64歳 男性
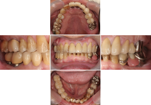
当症例は奥歯の歯ぐきがいつも腫れることが主訴のケースです。
このスライドでも右下の歯肉が腫れています。ひとつ奥の第2大臼歯は数年前に抜歯したそうです。レントゲンで診てみると歯の根が割れて化膿していました。この部分以外の歯肉も時々腫れるそうです。無くした歯も虫歯からではなくて歯周病と言われて抜いたそうです。
左側の上下の歯は、すれ違いを起こしていて噛み合っていません。少し専門的になりますが、前歯と奥歯はお互いに助け合って守りあっています。その関係が壊れてしまうと、奥歯に悪い力がかかり歯が割れたり、歯周病を重症化させてしまいます。このケースはまさにこのケースです。
治療前

治療期間・・・1年
治療後6年が過ぎ70歳になられましたが、現在まで歯肉は一度も腫れません。安定しています。治療開始時が64歳の高齢でしたので患者さんの希望は矯正期間を短くして欲しいと希望していました。マルチループを用いることで1年間で終了できました。このケースのように噛み合わせが病気の原因となっている場合は、矯正治療によって歯を移動させて新しい咬み合わせを作ることも必要となる場合があります。
矯正治療は装置がお口に入ったり、期間、費用のデメリットもありますが、治療後の長期安定が得られるメリットは大きいです。
治療後


