矯正治療期間の短縮
患者さんの皆さん こんにちは 院長の岩下です。
春本番までもう少しですネ。先日の日曜日も多摩川で12キロほど走り、汗をタップリかいてきました。いい天気でしたね。大学生のグループらが丸子橋の川辺でバーべキューをしていて、学生時代を思い出しました。卒業して早や25年、光陰矢のごとしです。
今日は、最近終わりました矯正のケースをご紹介します。
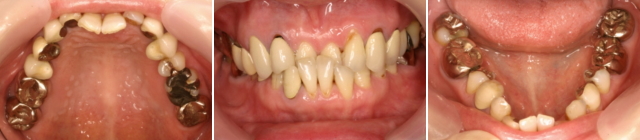
患者さんは、61歳 女性 左下の奥歯が痛むとのことで来院されました。
口腔内を診てみますと虫歯ではなく、噛み合わせの関係で奥歯に歯を揺さぶる悪い力がかかり、支えている骨にダメージを与えて歯周病を悪化させていました。まず先日書きました初期治療を行い、症状を安定させたのですが、歯にかかる悪い力はコントロール出来ませんでした。噛みあわせの治療のために、矯正治療が必要なことを話し理解していだだき、治療を開始しました。 仕事もされているため治療期間を短くしてほしいとの希望もありました。

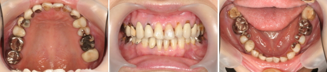
専門的には、「反対咬合」と呼んでいます。また、上下の歯列はV字型になり、特に下顎の小臼歯は内側に倒れています。今までの矯正治療では歯を水平的に動かすことをしていますが、このようなケースは上下の噛み合わせの高さが低いために機能的に反対咬合となってしまっています。そのため、積極的に高さをあげる必要があります。その時に威力を発揮しますのがマルチループというテクニックです。通常2~3年かかる治療が1年2が月で終わりました。患者さんは 結果にとても喜んでいます。その後、問題がある奥の銀歯の歯の治療をすることとなりました。マルチループのテクニックは、ワイヤー(針金のようなもの)をベンドする(曲げる)のがたいへんですが、こんなに短期間で理想とするゴールにいける素晴らしいテクニックと感じています。

このように外見的な問題でない時でも、噛み合わせ治療のために矯正を行う場合があります。噛み合わせの安定は、治療結果の安定に大きく影響します。

