再び、噛み合わせと矯正
患者さんの皆さん こんにちは 院長の岩下です。
診療室は木曜日で休診にしていますが、普段できない治療以外の仕事をしています。天気が良いと気分転換のために、走りに行くのですが、あいにくの雨で残念です。雨になるとまだ寒いですネ。
今日は前回のブログに関連して、「歯周病と噛み合わせ治療」についてお話します。
実際に治療が終了しました患者さんのケースを使いましてお話します。
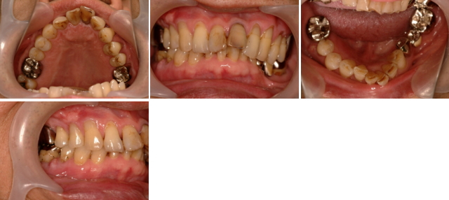
患者さんは現在70歳の男性です。
「歯肉が膿んで痛い」と来院されました。口腔内を診てみますと右下の奥歯の根が割れて歯肉が化膿していました。この部分以外の歯肉も時々腫れるそうです。無くした歯も虫歯からでなく歯周病で抜いたそうです。左側の上下の歯は、すれ違いを起こしていて噛み合っていません。専門的になりますが、前歯と奥歯はお互いに助け合っています。その関係が壊れてしまうと、奥歯に悪い力がかかり歯が割れてしまい、前歯は広がってきてしまっています。このように歯周病と噛み合わせ病が重なり、重症化してしまうことがよく起こります。歯周病の治療の中には、細菌のや歯石のコントロールの他に、歯にかかる力のコントロールをすることもあります。

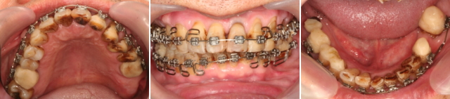
この患者さんのように、噛み合わせが病気の原因となっている場合は、矯正によって歯を移動させ、新しい噛み合わせを作ることも必要となる場合があります。矯正治療は、装置がお口に入ったり、期間・費用のデメリットもありますが、治療後の長期安定が得られるメリットは大きいです。治療期間が長くならないようにしています。この患者さんは1年で矯正治療は終わりました。

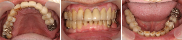
矯正で咬み合わせの治療を行った後に、歯周病治療と冠の作製に移り治療が完了しました。その後、メインテナンスに移行しました。治療して3年が過ぎましたが、どこも腫れることなく健康を維持されています。患者さんには、治療後とても喜んでいただきメインテナンスをキャンセルされたことはありません。

治療した状態が長く持って、安定していることが患者さんと診療室のゴールと考えています。
そのためには、いろいろな治療オプションが必要となります。一般診療から高度な治療にいたるまで、さまざまなニーズにお答え出来る幅広い歯科治療を行っています。

